9 Nov 2017 ( 24 weeks )
Hari ini,pas dd berumur 24weeks, kali ini pemeriksaan seperti biasa,antri menunggu giliran.
Setelah itu dr.Chandra mulai mengoleskan gel usg 2dimensi untuk memeriksa keadaan janin di dalam.
Dan langsung ditemui,plasenta / ari2nya melilit di lehernya, tapi untungnya lilitannya hanya 1x, longgar dan tidak erat. Pada usia kehamilan 24w, masih besar kemungkinan janin bisa melepaskan sendiri lilitannya.. tapi tidak menutup kemungkinan,janin bisa terlilit lebih banyak lilitan. Lalu diperiksa aliran darah di tali plasenta tersebut, Puji Tuhan alirannya bagus
FYI,dulu pas aq dilahirkan juga kelilit tali pusat, terus akhirnya divacuum dan tetap bisa lahir normal.
Denger dokter bilang begitu,jadi ada sedikit perasaan khawatir dan cemas,.
Besok - besoknya, pas quality time sama dd (elus2 dan ngobrol sama dd), aq soundingin terus biar dd lepasin lilitan di lehernya,. mainnya jangan lasak2 ya dekk hihiii ^o^
Berat dd di 24weeks ini 713g, detak jantung, aliran darah, dan kurva pertumbuhannya semua normal sesuai dengan grafik..
Pas usg 4d,dd lagi nutupin mukanya.. jadi pemeriksaan kali ini ga bisa liat perubahan mukanya uda kayak gimana.. tapi gpp,yang penting dd sehat dan berkembang sesuai ukurannya. Kali ini,kakinya keliatan panjang banget,lebih panjang 1w 2d dari ukuran seharusnya..
Ini dia beberapa capture yang dikirim suster klinik.
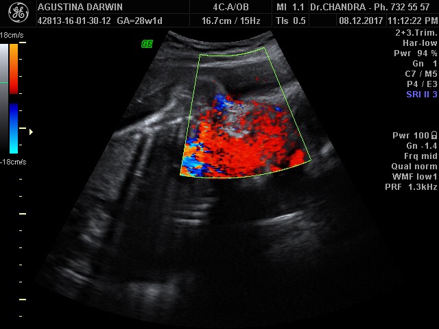
| ini gambaran lilitan tali pusat dengan menggunakan doppler usg warna |
Oia, mulai usia sekitar 22an weeks gitu,pipi uda bisa ikut ngerasain rasanya tendangan dd di perut mimi loh.. Tiap malem kita selalu sempetin quality time ber3, jadi pipi taroh telapak tangannya di perut mimi, terus panggil2 dd,, n dd bisa nyahut loh.. nyahutnya ya gitu,nendang2 perut mimi.. Perasaan bahagia yang ga bisa diungkapin dengan kata2,. setelah akhirnya bisa merasakan perasaan seperti ini.. merasakan ada sesuatu yang hidup dan berkembang di rahim kita..
Sungguh keajaiban dan kebesaran kasih Tuhan semuanya boleh terjadi..
Mudah2an di pemeriksaan selanjutnya,tali pusatnya sudah ga melilit lagi di leher dd sampai nanti HPL yaa ^o^ Amiin
USG 4D screening - 24 November 2017 (26 weeks)
Tiba - tiba kepikiran pengen usg screening,yang bisa memeriksa lebih detail tentang anatomi dan organ dalam janin.. Sebenarnya setiap kali konsultasi dan usg sama dr.Chandra Thaytyy, memang tetep diperiksa dengan usg4d, tapi cuma sebentar aja..
Sempet tanya di dokter Chandra,kalau mau screening 4D anatomi juga bisa, biayanya sekitar rp.900.000, waktu pemeriksaan 30menit.
Tapi aq mikir lagi,pengennya ke dokter khusus fetomaternal,biar bisa diperiksa lebih detail dan menyeluruh. Kalau dr.Chandra kan hanya SPOG biasa.
Jadi setelah searching dan tanya tanya ke temen2, aq mutusin buat usg 4d screeening di
RSIA Putri - Surabaya
Di RSIA Putri ada 2pilihan dokter buat usg 4d,
1.Dr.Agus Sulistyono, SpOG (K)
2.Dr.Adityawarman,SpOG
Ada temen usg sama dokter Agus, menurut temenku ini,pemeriksaan detail dan menyeluruh, tapi suaranya pelan banget,hampir ga kedengeran.
Jadi aq mutusin buat bikin janji sama dokter Adityawarman, berharap suara beliau lebih keras dan jelas.. Buat janji harus 1-2minggu sebelumnya,karena dalam 1hari,mereka hanya menerima beberapa pasien saja.
Biaya Usg 4d screening di RSIA Putri November 2017 - Rp.700.000,-
Dapetnya:
- 1 buah cd berisi foto dan rekaman saat usg
- 1 bnah album foto berisi beberapa buah print usg wajah dan anatomi organ dalam janin
- 1 buah tas spunbound RSIA Putri
- 20 menit pemeriksaan usg
Tiba saaatnya usg..
Karyawan administrasi yang melayani saat pendaftaran, menyarankan untuk bertanya saat pemeriksaan usg berlangsung, karena setelah pemeriksaan berakhir, dokter tidak akan mau menjawab pertanyaan2 dari pasiennya. Sempet bingung dan merasa aneh, tapi ya sudahlah.
Oia, aq periksa disini tanpa surat rekomendasi dari dokter,
Sebelumnya pernah tanya ke dr.Chandra, perlu ga ya.. beliau bilang,tergantung pasien. Kalau mau,bisa dijadwalkan.. Jadi kan ga enak ya kalau dia ada layanan 4d screening,tapi aq mintain surat rekomendasi buat usg 4d di tempat lain..
Jadi pas usg saya ungkapin hal ini ke dokter Adit, agar beliau bisa menyampaikan langsung ke saya jika ada hal yang tidak normal.. Tapi agak kecewa, karena beliau sangat pendiam, bahkan lebih cool dari dr.Chandra (kata suami pelit banget ngomongnya,sama sekali ga bersuara)
Tapi memang bener sih,sepanjang usg diem aja.. Aq mau nanya2 juga takut dimarain,
Terakhir aq cuma nanya,. normal kan ya dok semuanya? Beliau bilang normal..
Puji Tuhan semuanya baik hasilnya.. Setelah itu suster mempersilahkan kami keluar dan mengatakan, untuk penjelasan hasil usg,silahkan serahkan ke dokter Obgyn kita. Toenggg
Oia,pas usg aq cuma sempet tanya tentang lilitan tali pusat di leher,menurut beliau,. tidak ada lilitan lagi.. Yeaayyy,. pinter ya dd,nurut banget kemaren dibilang suruh lepasin,. beneran dilepasin lilitannya (^o^) buat maminya tenang dan legaa
Terus,.setelah menunggu 15menit, hasilnya keluar.. untung aja hasilnya bisa dibaca oleh orang awam.
Menurut yang aq baca,semuanya hasilnya normal dan baik,.
Oia,pas usg 4d ini, aq berharap dan bayangin bisa dapet rekaman muka dd yang jelas, dan bisa liat video dia gerak2, nendang2, isep jempol, senyum atau apalah ekspresi dan gerakan janin pas di dalem perut.. Tapi ya gitu.. pas usg,si dd lagi nunduk.. sekalinya dapet fotonya juga lagi cemberut.. hihi
Padahal sebelumnya uda dipancing pakai Yakult biar mau nunjukkin mukanya.. hihiii
Cu on next
![]() |
| dd lagi nunduk n cemberut ^0^ |
![]() |
| menurut dokter,ini jenis kelaminnya,,tapi aq sama sekali ga ngerti liatnya gimana dan yang mana hahaha |
8 Desember 2017 (28Weeks)
28 weeks itu harusnya tanggal 7 Desember 2017,
Setiap kali jadwal usg,aq selalu pasin dari hpht, biar gampang liat ukuran dan beratnya sesuai ga sama usianya..
Tapi pas tanggal 7,setelah sampai di klinik, dan nunggu sebentar, rupanya dr.Chandra tiba2 harus ke RKZ ,ada pasiennya yang tiba2 melahirkan..
Jadi semua pasien disuruh pulang karena dokter ga melanjutkan praktek di malam itu
Karena klinik deket mall,ya udah sekalian pergi dinner dan pergi nonton sama suami ^o^, biar ga sia-sia jauh2 ke kota dari rumah hihihii
Besoknya,tanggal 8 Desember, dapet jadwal periksa jam 10malem. Sampai klinik pas jam 10malem, tapi mesti antri 2jam,. jam 12an tengah malem gitu baru masuk.. Dan kita pasien terakhir..
Okey, setelah antri 2jam, giliran kami tiba.. kali ini pemeriksaan usg agak lama,. mungkin karena kami pasien terakhir..
Begitu periksa, aq langsung nanya lagi tentang lilitan, takutnya kelilit lagi,. karena ini dd di dalem perut memang lumayan aktif,. goyang2 trus, nendang2 trus dia hihiii,
| plasenta dd yang ada persis di depan mukanya,yang bikin setiap usg ada item2nya gini, gambarannya jadi ga bisa jelas2 banget kata dokter |
| aq sukanya nunduk kalau lagi dingintipin mimi pipi ^o^ |
Berat dd sekarang 1.235gram,. lebih besar sekitar 180gram dari usianya,. tapi masih tergolong normal.. Detak jantung, aliran darah, resiko preeklampsia juga rendah.. Puji Tuhan hasilnya semua baik..
Mulai sekarang, pemeriksaan menjadi 2minggu 1x..
YEsss,. mnlai sekarang bisa lebih sering ngintipin dd
Sehat dan berkembang terus yah sayang...
LOves u,my baby..





Tidak ada komentar:
Posting Komentar